A woman with short hair, wearing a blue floral shirt and smiling at the camera.

Smile Gallery

A woman with short hair, wearing a blue floral shirt and smiling at the camera.
The image shows a person s mouth with teeth that appear to be in poor condition, possibly due to decay or neglect.

Before

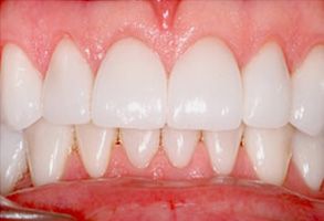
Smiling mouth with straight white teeth and a pink tongue, set against the backdrop of a human face.

After

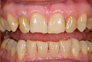
The image displays a close-up of a person s teeth with yellowing and staining, emphasizing the need for dental care or cosmetic dentistry.

Before

Image of a close-up view of a person s teeth, showing yellowing and possible dental issues.

After

The image shows a close-up of a man s face with a focus on his teeth, which are prominently displayed in a smile.

Before

An image of a person s smiling face with teeth, featuring a full beard and mustache.

After

The image displays a close-up of a person s teeth, showcasing a set of braces with multiple metal brackets and wire segments.

Before

The image displays a close-up view of a person s teeth with braces, featuring metal wires and clear plastic aligners.

After

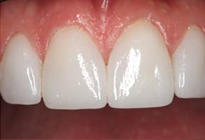
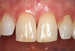
The image shows a close-up of a person s teeth and gums, with the upper lip partially visible, displaying a pinkish hue that suggests the presence of a dental implant or prosthetic.

Before

An image of a close-up view of an open mouth with crooked teeth, showcasing the upper and lower dental arches.

After

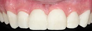
The image shows a close-up view of a person s teeth, focusing on the lower front teeth and part of the upper lip, with a visible gumline and dental implant.

Before

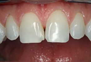
Image of a person s teeth with a close-up view, showcasing white fillings and clean gums.

After

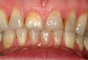
The image shows a close-up of a person s teeth with visible staining and yellowing, which suggests poor oral hygiene or the need for professional dental care.

Before

An image of a close-up view of a person s teeth, showcasing a bright and clean smile with visible tooth enamel.

After

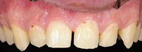
The image shows a close-up of a person s teeth with a focus on the lower front teeth, which appear to be in need of dental repair or replacement due to discoloration and possible decay.

Before

Image  A close-up photograph of a person s teeth, showcasing a bright smile with clean white enamel and straight alignment.

After

The image displays a close-up of a person's teeth with visible dental work, including a bridge and possibly crowns, set against a blurred background.

Before

The image displays a close-up view of a person's teeth, showcasing a bright white smile with visible enamel and some minor staining on the lower front teeth.

After

Contact Us

Schedule your appointment today! Give us a call to get started.

Zimmerman Family Dentistry 114 W Penn Street, Martinsburg, PA 16662